Оваа девојка не ги извадила своите контактни леќи 6 месеци и нешто застрашувачко се случило со нејзините очи

Оваа девојка не ги извадила своите контактни леќи 6 месеци и нешто застрашувачко се случило со нејзините очи

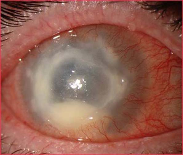
Поголемиот дел од контактните леќи не се дизајнирани за континуирано носење. Најчесто, на крајот од денот, вие ги отстранувате леќите и ги оставате во раствор за да се дезинфицираат до наредното утро. Сигурни сме дека никогаш не сте ни помислиле да ги носите 6 месеци без прекин… Во случај да сте размислувале за тоа, веднаш ве предупредуваме да заборавите на таа идеја!

Оваа девојка не ги извадила своите контактни леќи 6 месеци и нешто застрашувачко се случило со нејзините очи

Зошто, би се запрашале? Студентката Лиан Као од Тајван го сторила токму тоа. Доколку контактните леќи останат врз вашите очи подолго време, тие ќе станат одлично место за криење на оние бактерии кои не сакаат кислород. Овие бактерии потоа ќе почнат да привлекуваат микроорганизми кои се хранат од нив, како на пример, акантамебата, како што се случило со Као.

Оваа девојка не ги извадила своите контактни леќи 6 месеци и нешто застрашувачко се случило со нејзините очи

Акантамебата е еден вид амеба која најчесто не е штетна за луѓето. Но, што мислите, што ќе се случи доколку цела колонија на акантамеби се населат под контактните леќи каде што имаат неограничен извор на бактерии за исхрана? Во случајот на Као, докторите не се сигурни како таа стапила во контакт со овие амеби, но веруваат дека тоа се случило за време на пливање со леќите. Како што оваа колонија растела, така почнувала да навлегува во рожницата на Као, барајќи повеќе бактерии за храна. Токму тогаш се случило она што е познато како „Acanthamoeba keratitis“.

Оваа девојка не ги извадила своите контактни леќи 6 месеци и нешто застрашувачко се случило со нејзините очи

Оваа состојба знае да создава болка и црвенило, но не доволно за луѓето да побараат медицинска помош. Па, бидејќи не побарала помош на време, очите на Као денес изгледаат како на фотографијата подолу и таа е целосно слепа. Во некои ситуации видот може да се врати со помош на пресадување на рожница, но најчесто пациентите остануваат слепи поради неверојатно тешкиот начин да се отстрани оваа инфекција.

Оваа девојка не ги извадила своите контактни леќи 6 месеци и нешто застрашувачко се случило со нејзините очи

Наравоучение: Никогаш не ги носете вашите леќи подолго од еден ден!

 


Бидете секогаш во тек со новите содржини на Кафе пауза. Следете нè на Твитер или пак станете фанови на нашата страница на Фејсбук.