Претходно
Зошто некои луѓе ги ставиле овие работи во своето тело?
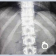
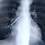
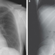
Можеби понекогаш се чувствувате виновно заради обилниот ручек што сте го изеле, но кога ќе видите што ставиле овие луѓе во својот стомак, ќе сфатите дека вие немате причина да се грижите. Барем не сте изеле батерии. Иако можеби имаат помалку калории, попрво би јаделе вкусни слатки со многу масти отколку киселински раствор. Луѓето имаат изедено некои многу чудни нешта…

Батерии
Бидете секогаш во тек со новите содржини на Кафе пауза. Следете нè на Твитер или пак станете фанови на нашата страница на Фејсбук.





















































